Home
About
About Dr. Park
New Patients forms
About Orthodontics
Before and After
Testimonials
Referral
Contact
Jun Park Orthodontics
Home
About
About Dr. Park
New Patients forms
About Orthodontics
Before and After
Testimonials
Referral
Contact
About
About Dr. Park
New Patients forms
About Orthodontics
Before and After
Testimonials
Referral
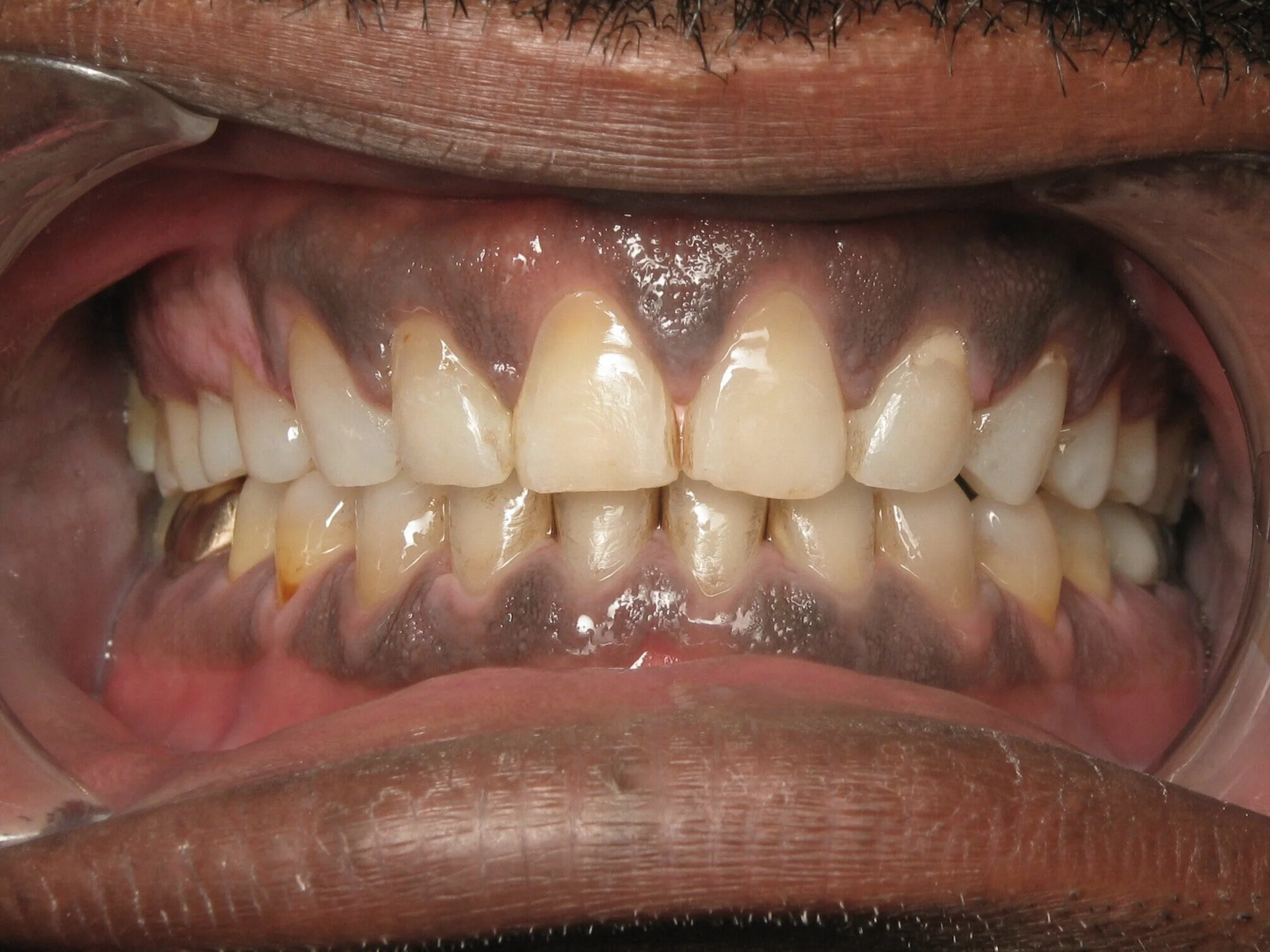
Before
After